云计算支持的诊断工具对抗击新冠疫情至关重要
已支持包括中国在内的17个国家的87个组织,并计划在2021年分配1200万美元
2021年4月13日,亚马逊云科技宣布启动新一阶段的诊断开发计划。诊断开发计划是亚马逊云科技于2020年3月推出的全球性项目,致力于帮助世界各地的组织利用云的力量加速疾病诊断研发。通过该计划,亚马逊云科技承诺提供2000万美元的计算额度及专业服务团队的定制化专业知识支持,帮助推动诊断创新。目前为止,亚马逊云科技已经向包括中国在内的企业和研究机构提供了800万美元资助,新一阶段将分配剩余的1200万美元。同时,新一阶段的资助范围将扩大到三个全新的领域:1)通过早期疾病检测识别个体和社区层面的疾病爆发;2)通过预后更好地了解疾病轨迹;3)通过公共卫生基因组学支持全球病毒基因组测序。
在该计划的第一阶段,亚马逊云科技已经帮助了包括中国在内的17个国家的87个组织,包括非营利组织、研究机构、初创企业、和大型企业,所支持的诊断项目包括:抗体、抗原和核酸的分子测试、诊断成像、可穿戴设备、以及使用人工智能和机器学习技术检测病毒的数据分析工具,等等。
新一阶段,亚马逊云科技将继续优先考虑新冠疫情项目,同时也将评估关注其它传染病的项目。4月12日起,到2021年年底,全球各类感兴趣的组织都可以申请这一计划,但亚马逊云科技将优先考虑7月31日前收到的申请。有兴趣的组织可放问以下链接申请https://aws.amazon.com/government-education/nonprofits/disaster-response/diagnostic-dev-initiative/ 。
“从机器学习驱动的X光图像分析,到快速、高质量和直接面向大众的检测方式,过去一年我们看到了疾病诊断方式的众多革命性创新。”亚马逊新冠疫情响应首席医疗官Vin Gupta博士表示,“这些创新还将持续发生,不断提高我们应对未来疫情爆发的能力。诊断开发计划已经带来了一系列鼓舞人心的成果。我们也期待,通过帮助更多组织和社区更好地利用云计算技术,能够更快地识别和应对未来可能发生的疫情。”
第一阶段亮点项目举例
亚马逊云科技诊断开发计划加速了多个对新冠病毒检测有直接作用的项目,为医疗诊断带来了更多可能性。这些项目不仅帮助医学界快速应对新冠疫情,还支持了许多用以应对其它传染病的重要工作。
以下是亚马逊云科技诊断开发计划所支持项目的几个典型代表。
晶泰科技推动老药新用筛查
总部位于深圳,在北京、波士顿、上海设有分部的晶泰科技(XtalPi),是一家以数字化、智能化驱动药物研发创新的科技公司。在新冠疫情爆发后,该公司很快对近3000个已通过美国药监局(FDA)审核的上市药物、以及超过1万种中药成分分子,进行了老药新用的扫描,成功找到了183个可能对新冠病毒有潜在治疗效果的药物。之后,晶泰科技对这些药物的活性进行了排序,又通过更加高精度的计算化学方法,锁定了38个潜在有效的药物,与合作伙伴分享。晶泰科技能迅速地完成大量药物筛选,得益于其Intelligent Digital Drug Discovery and Development (ID4)云端智能药物研发平台。在这个平台上,晶泰科技通过自主研发的基于GPU计算实例的机器学习框架,实现大规模的模型训练及参数优化。在AI模型研究及设计初期,晶泰科技的科学家团队通过Amazon SageMaker服务实现了对模型及参数的快速验证,其友好的交互式界面加速了算法研发效率。凭借准确的预测与海量计算资源的支撑,晶泰科技的ID4平台已经加速了超过100款管线药物的研发,正在并行推进超过30款新药的药物发现工作。
“ID4智能药物研发平台至今已服务几十家药企,在速度、精确度、安全性上的优势越来越多地受到药物创新企业的认可和青睐。这离不开亚马逊云科技强大的计算、存储、人工智能和机器学习等众多服务的支持。我们希望能够利用ID4平台,为药企提供强大的药物研发引擎,做药企创新研发道路上的有力伙伴,以优势明显的研发服务,进一步推动药物研发的智能化进程。”晶泰科技CTO刘阳表示。
益体康以远程心电诊断服务基层医疗
益体康专注远程医疗服务,为众多医疗健康服务机构提供产品与技术支持。新冠疫情期间,益体康的远程心电服务打破了检查端和诊断端的空间限制,为身处隔离病房的新冠肺炎患者提供了及时的心电诊断,同时,也让众多基层医院的病患在大型医院减少或暂停普通疾病接诊的情况下,依然可以得到专业的心脏问题初诊和分诊,从而降低了因密切接触导致新冠肺炎感染的可能性。在2020年,益体康搭建于亚马逊云科技上的心电诊断中心共计支持了超过1000所基层医疗机构的超过11万例远程心电诊断。亚马逊云科技大大提升了益体康AI模型训练和更新的效率,并降低了数据存储的成本。
“在心电领域,医学上已经证明了QT间期延长综合征和新冠肺炎之间有非常强的相关性,后续希望通过亚马逊云科技的机器学习服务针对这种已经证明的相关性单独训练出一套预测模型,并尝试关联冠状病毒引起的多种疾病之间的相关性。”益体康(北京)科技有限公司副总裁/CTO赵俊淋表示。

图1、图2 益体康远程心电服务支持基层医疗
斯坦福大学医学院开发基于智能手表的诊断 “报警系统”斯坦福大学医学院医疗创新实验室的研究人员开发了一款智能手表应用,旨在准确标记出个体免疫系统抵抗潜在新冠感染的迹象。该应用通过算法检测个人静息心率和步数的变化。早期试验结果喜人,在一项试验性测试中,这个应用成功地在新感染者发现症状10天之前就发出了可能的感染预警。该应用目前已进入新一阶段的研究,斯坦福大学团队正在招募参与者,目标是达到1000万名参与者,以提高其实时检测新冠肺炎感染迹象的能力。这款基于智能手表的早期检测系统构建在亚马逊云科技上。在应用构建过程中,亚马逊云科技专业服务团队与研究人员协作,在该项研究中帮助扩展数据处理管道。

图3 斯坦福大学医学院开发的新冠疫情可穿戴研究App
“我们希望利用可穿戴设备进行的持续筛查能够提供可扩展的诊断解决方案,以克服现有的检测障碍。同时,通过将数据访问范围扩大到更广泛的研究人员,我们希望能够推动更多新的发现,改善人类健康。我们也期待利用云计算带来更多新的研究的可能性。”斯坦福大学医学院遗传学教授兼主席Michael Snyder博士表示。
Helix在全美普及高灵敏度新冠检测
Helix是一家基因组学初创公司,其整个软件平台都建立在亚马逊云科技上。Helix正在迅速拓展高灵敏度分子新冠检测的使用范围,帮助美国各地的卫生系统、雇主、政府和其它组织实现次日出检测结果。Helix®新冠肺炎检测解决方案已经获得美国食品和药品管理局(FDA)的紧急使用授权。该公司正在扩大规模,以便处理在美国每天多达10万次的新冠检测,使其成为美国最大的新冠检测实验室之一。Helix提供了端到端、高度可扩展的解决方案,既可以通过鼻拭子轻松实现样本的自我采集,同时支持无监督或受监督的现场样本采集,检测新冠病毒感染。
“与亚马逊云科技合作,不仅使我们能够在短时间内搭建起新冠肺炎检测解决方案,还使Helix能够快速扩展,满足去年冬天激增的检测需求。其作用是非常巨大的。随着疫情的恶化,我们能够在亚马逊云科技的基础之上,为全美数千个社区、数百万人的生命提供帮助。”Helix公司工程副总裁Jim Chou表示。
Centro Diagnostico Italiano和Bracco Imaging创建了开源影像档案项目
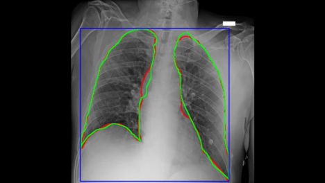
由Centro Diagnostico Italiano和Bracco Imaging领导的医疗和研究组织联盟,协同创建了AIforCOVID影像档案,这是一个拥有近1000张胸部X光片和新冠肺炎患者匿名临床数据的存储库。联盟内的多家研究机构开发了三种机器学习方法,可以在亚马逊云科技上对这些图像和临床数据进行分析。基于这些分析,联盟开发了一个模型,能够通过胸部X光图像和临床数据,预测新冠肺炎患者的临床结果。AIforCOVID网络收集的所有数据都放在项目网站(https://aiforcovid.radiomica.it/),供国际科技界的成员下载。
图4 AlforCOVID项目的新冠患者胸部X光片,对感染区域的AI划线(红色)与手工划线(绿色)很接近

“在对新冠患者的管理中,放射影像学对诊断和治疗方案起着至关重要的作用。得益于亚马逊云科技的技术和专业支持所带来的机器学习力量,我们已经能够快速理解诊断成像和临床分析所产生的大量数据。我们正在努力提供实用的资源,世界各地的医院和组织可以应用这种资源,增加对疾病的理解,促进自己的诊断工作,改善患者治疗。”意大利诊断中心影像诊断和立体定向放射外科主任Sergio Papa表示。
“通过与Centro Diagnostico Italiano和亚马逊云科技合作,我们已经开始探索将人工智能应用于临床数据的潜力。我们意识到,这场革命才刚刚开始。医疗正在快速走向一种新的方式,将数据与临床实践和患者管理进行整合、互联。”Bracco全球影像事业部研发总监Fabio Tedoldi 表示。
















